电动牙刷好用吗?为什么越来越多人放弃普通牙刷?
2020-04-03 22:18:30来源:民营经济网·民企动力
牙齿伴随我们一生的吃香喝辣,人没有了牙齿,就只能依靠流食为生。有论文证明,70岁以上没有咀嚼能力的老人多伴有营养不良的症状,直接导致死亡时间推前。牙齿的重要性不言而喻。想要牙口好还是要从日常刷牙做起,因此很多人都换上了电动牙刷。那么,电动牙刷真的好用吗?

刷牙到底是在清洁什么?
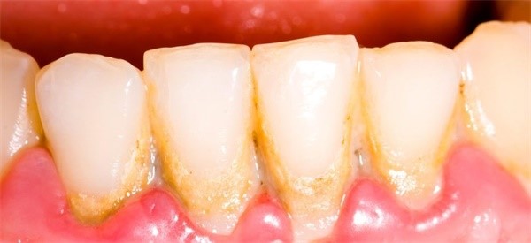
在了解电动牙刷好用吗这个问题之前,首先我们要知道,刷牙到底刷的是什么。剩饭?肉丝?韭菜叶子?其实除了这些食物残渣之外,最主要清洁的是细菌,更准确地来说是——牙菌斑。牙菌斑就是细菌在牙齿上的存在形式,像一块膜一样紧紧的黏在牙齿上,是牙石的前身。

牙菌斑的粘性很强,不是桌面上的浮尘,更像是排烟罩上的油污。光吹一吹或泼点水(漱口)是去不掉的,必须用力擦(刷牙)。细菌累积得多了,会不断在口腔里生长、发酵,口臭口气就找上门了。

电动牙刷和普通牙刷的清洁原理
电动牙刷的清洁原理分两种,旋转式和声波式,声波式电动牙刷是主流。声波式并不是指用声波来清洁牙齿,而是指它内置的震动马达震动频率很高,震动频率能达到28800-37200次/分钟的范围。

通过这种高速震动,带动口腔内的牙膏和唾液流动,产生大量细腻的泡沫,冲刷口腔和牙齿,从而清洁牙刷接触不到的牙缝等死角。
普通牙刷的清洁原理无非就是手动的摩擦了,相对于电动牙刷来说,刷牙的频率比较低,速度慢。如果刷牙力度过大,还容易伤到牙龈。普通牙刷想达到很好的清洁效果,要遵从「巴氏刷牙法」,手法比较复杂,大部分人很难掌握并长期坚持。

从清洁原理上来看,电动牙刷不仅清洁力更强,清洁的部位全面,清洁的效率也更高,更省力。
电动牙刷的清洁功能更全面
目前市面上的电动牙刷通常会有3~5种不同的清洁档位,除了日常刷牙用的普通清洁模式,还有高震频的美白、抛光模式,减少牙渍。震感温和的敏感、牙龈护理模式,适合敏感牙和牙龈上火时刷牙。

刷毛的材质和柔软度
电动牙刷通常采用杜邦刷毛,抗菌性和柔软度更好。另外刷毛顶端也有做磨圆处理,刷毛磨圆率越高,牙齿牙龈的伤害越小。

根据新牙刷标准规定:平形毛型牙刷磨圆率达到60%,异形毛型牙刷磨圆率达到40% 即为合格。美国杜邦刷毛的磨圆率到达90%以上,但是有些廉价电动牙刷的刷牙甚至不能达到合格标准,长期使用会对牙齿和牙龈造成伤害。

电动牙刷控制科学的刷牙时间
电动牙刷有智能计时器功能,一般是2分钟就自动停止工作或提醒,保证控制刷牙时间,有些还有30秒分段提醒,保证每个区域刷牙时间均匀。

使用的便捷性和价格
普通牙刷拿起就能刷,而电动牙刷作为电子产品自然是要充电的。不过,大部分电动牙刷的续航能力都是不错的,例如千山钻石款电动牙刷,续航能达到100天,不需要频繁充电,并且附带便携旅行盒,算是解决的这个问题。

同样,价格也是阻碍大多数人入手电动牙刷的原因,但是被忽略的一点是,电动牙刷通常配备了2~4个刷头;上面提到的千山钻石款也送4支提换刷头,足够一年的用量,这样一算,相当于一次买了四支普通牙刷,送了个电动手柄,性价比还是很高的。
免责声明:市场有风险,选择需谨慎!此文仅供参考,不作买卖依据。
责任编辑:张富强
免责声明:本文仅代表作者个人观点,与民营经济网无关。其原创性以及文中陈述文字和内容未经本站证实,对本文以及其中全部或者部分内容、文字的真实性、完整性、及时性本站不作任何保证或承诺,请读者仅作参考,并请自行核实相关内容。
如有问题,请联系我们!
